Dental Pathology

Dental pathology
The main goal of this branch of dentistry is to study caries and its treatment because caries is one of the most common teeth disease. Caries is a disease that attacks the hard dental substance, starting with the enamel and than it spreads to the dentin and the cement. The consequences of these disease are softening of the hard dental substance, and if there’s no treatment in due time that will lead to:
- Pulp infection
- Root infection
- Tooth loss
Fillings
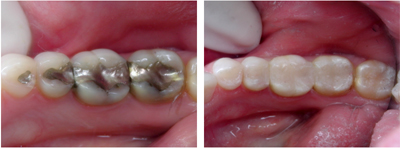
In our dental private office we have chosen to work only with “white” fillings. You may ask: “Why not metallic fillings”?
- A secondary cavity
- An infection of the pulp (nerve) of the tooth i.e. pulpitis
- Or a spontaneous necroses of the pulp

Dental pathology
The main goal of this branch of dentistry is to study caries and its treatment because caries is one of the most common teeth disease. Caries is a disease that attacks the hard dental substance, starting with the enamel and than it spreads to the dentin and the cement. The consequences of these disease are softening of the hard dental substance, and if there’s no treatment in due time that will lead to:
- Pulp infection
- Root infection
- Tooth loss
Fillings
In our dental private office we have chosen to work only with “white” fillings. You may ask: “Why not metallic fillings”?
- A secondary cavity
- An infection of the pulp (nerve) of the tooth i.e. pulpitis
- Or a spontaneous necroses of the pulp

Their well-known publicity in aesthetic dentistry and the advantages that white fillings offer, which can be truly accomplished, has allowed many patients to expect their restorations to be very much alike to their natural teeth.
There are a big number of choices that dental houses offer. In our dental office in the decision-making of the best fillings to be used for our patients, we were led by these three basic principals:
QUALITY – high quality based on facts;
CERTAINTY – that we provide trough our dental work;
CONFIDENCE – which results from our gained experience.
- GC Gradia direct (GC Coropration)
- Ceramic fillings – Composan ceram (Promedica, Germany)
![]() |
![]() |
Their well-known publicity in aesthetic dentistry and the advantages that white fillings offer, which can be truly accomplished, has allowed many patients to expect their restorations to be very much alike to their natural teeth.
There are a big number of choices that dental houses offer. In our dental office in the decision-making of the best fillings to be used for our patients, we were led by these three basic principals:
QUALITY – high quality based on facts;
CERTAINTY – that we provide trough our dental work;
CONFIDENCE – which results from our gained experience.
- GC Gradia direct (GC Coropration)
- Ceramic fillings – Composan ceram (Promedica, Germany)




