Endodontics

Endodontics
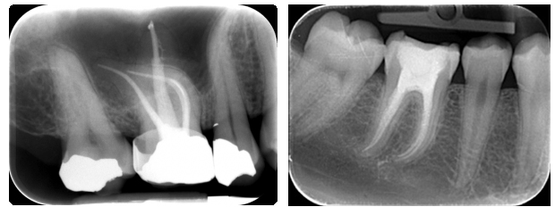
In some cases the differences in diagnoses do not allow the treatment to be complete in one visit i.e. we need to put the patient on medicine for some period. Endodontics is when the caries lesion has advanced so much that it has extended even to the tooth pulp, so it needs appropriate treatment depending on the specific diagnosis. When the infection is located only to the tooth pulp we are speaking about pulpitis. In the case when there is gangrenous decomposition of the pulp, with the releasing of gasses of anaerobic bacteria, than that’s gangrene. When the inflammation process has gotten to the periodontium through the root canals than that’s periodonitis?.
Endodontic treatment involves opening the tooth, removing the damaged pulp, cleaning, shaping, filling and sealing the tooth. For successful treatment we use quality antiseptic solutions, medicine for temporary and permanent sealing of the root canals based on calcium hydroxide. We also use nickel titanium endodontic instruments that put the risk of treatment failure to a minimum, which was a serious problem in the past.
Our motto is: even the worst tooth is better than having none, until it becomes a danger for the person’s health. And that’s why we use all available resources to cure each tooth and to prolong its life.


Endodontics
In some cases the differences in diagnoses do not allow the treatment to be complete in one visit i.e. we need to put the patient on medicine for some period. Endodontics is when the caries lesion has advanced so much that it has extended even to the tooth pulp, so it needs appropriate treatment depending on the specific diagnosis. When the infection is located only to the tooth pulp we are speaking about pulpitis. In the case when there is gangrenous decomposition of the pulp, with the releasing of gasses of anaerobic bacteria, than that’s gangrene. When the inflammation process has gotten to the periodontium through the root canals than that’s periodonitis?.
Endodontic treatment involves opening the tooth, removing the damaged pulp, cleaning, shaping, filling and sealing the tooth. For successful treatment we use quality antiseptic solutions, medicine for temporary and permanent sealing of the root canals based on calcium hydroxide. We also use nickel titanium endodontic instruments that put the risk of treatment failure to a minimum, which was a serious problem in the past.
Our motto is: even the worst tooth is better than having none, until it becomes a danger for the person’s health. And that’s why we use all available resources to cure each tooth and to prolong its life.


Book an Appointment
Make an appointment our team will contact you quickly in order to confirm the appointment.


